Un insólito hecho se produjo en Inglaterra. Un hombre de 72 años que se sometió a una cirugía para que le extirparan un bulto del abdomen terminó con su dentadura postiza atascada en la garganta.
Lo más llamativo es que tardaron más de una semana en descubrir lo que había pasado. Seis días después de la intervención, el hombre volvió al hospital quejándose de sangre en la boca y dificultades para respirar y tragar, lo que le había impedido comer alimentos sólidos.

Al principio, los médicos no pudieron encontrar el problema, y el hombre volvió a su casa con una receta para enjuague bucal, antibióticos y esteroides. Pero a los dos días regresó y fue ingresado en el hospital con sospecha de neumonía por aspiración, una infección grave en el pecho.
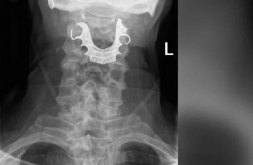
Finalmente, los rayos x encontraron el verdadero problema: una dentadura postiza sobre las cuerdas vocales del hombre. El sujeto dijo que había perdido los dientes durante su visita inicial al hospital, y finalmente debió ser sometido a una nueva intervención para extraerlos.
































