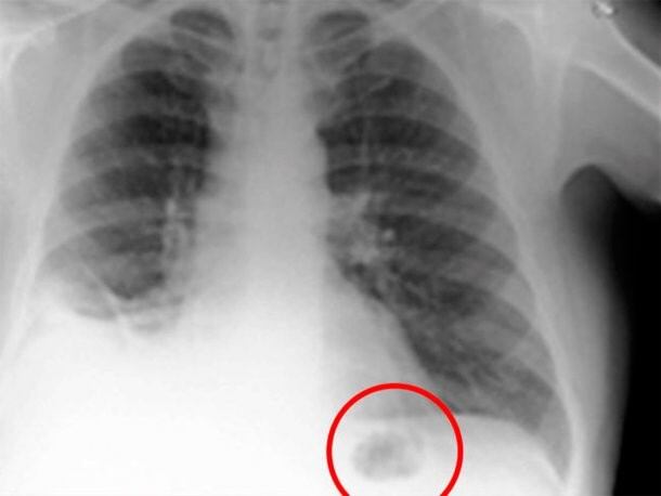
Un hombre de Preston, Inglaterra, pensaba que tenía cáncer de pulmón tras realizarse una radiografía y encontrar una mancha. Es que los médicos vieron una sombra negra y anticiparon lo peor.
Sin embargo, luego los estudios médicos arrojaron que se trataba de ¡una pieza de Playmobil!
El paciente, de 47 años, fumó los últimos 30 y hace un año convivía con una tos insoportable. Luego, comenzó a tener mocos amarillos y decidió consultar a los especialistas.
Sin embargo, las pruebas realizadas en el Royal Preston Hospital demostraron que era un pequeño cono de tráfico de Playmobil que se había tragado cuando tenía 7 años.
































