Luego de 17 años una adolescente de la India descubrió que en su vientre había un bebé. Se trata de un fenómeno llamado "fetus in fetu" y el feto que tenía dentro era de un "hermano gemelo".
Esta afección produce que "un gemelo fetal quede envuelto por el otro", según detalla La100. Estos casos suelen ser detectados al momento de nacer o se produce un aborto espontaneo que expulsa al gemelo que no sobrevivió pero esto no ocurrió en esta paciente que llevó el feto en su panza durante 17 años.

La joven a sus 12 años detectó un bulto duro y deforme en su abdomen. A partir de ese momento comenzó a crecer provocándole dolor y trastornos alimenticios porque se sentía siempre llena.
El estómago fue uno de los órganos que primero sintió esta presencia ajena al cuerpo pero luego por el tamaño del bulto el resto de los órganos comenzaron a ser presionados.
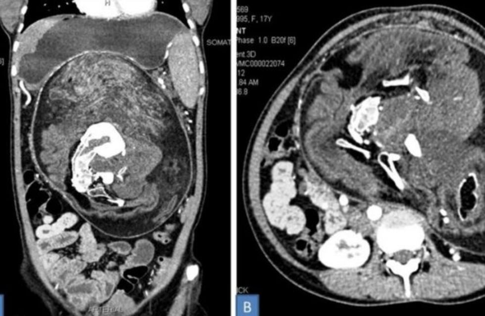
Luego de 5 años, los médicos sostenían que se trataba de un tumor pero al hacerle una tomografía computarizada algo les llamó la atención: el bulto tenía cabello, dientes, costillas, hueso largos y vértebras.
Se trataba de un gemelo que no se desarrolló durante el embarazo y fue "absorbido" por la mujer mientras crecía en la panza de su madre. Las imágenes detallan que el feto medía 36 x 16 x 10 centímetros, el más grande hasta el momento.
Al detectar el "fetus in fetu" los especialistas realizaron la extracción del "gemelo" pero no lograron hacerlo en su totalidad por lo que algunas células de ese bebé quedaron en su organismo y corre riesgo de que estas se desarrollen como cáncer.





























