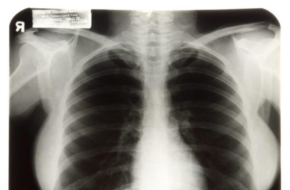
Dos alumnos de la carrera de Ingeniería de Sistemas de la Universidad Católica de Córdoba, inventaron una forma de detectar si una persona está infectada con coronavirus a partir de una radiografía de tórax.
Se trata de Tomás Giraudo y Octavio Di Marco, quienes elaboraron un modelo basado en ciencia de datos para la predicción de infección pulmonar por Covid-19, mediante el análisis de estas imágenes.


"El objetivo de la investigación es ayudar con el diagnóstico al personal médico, en tiempo real y sin tener que realizar grandes gastos en hardware dedicado. Es decir, que puedan utilizarlo sin problemas en su smartphone o tablet", explicaron los autores en diálogo con La Voz.
De esta manera obtuvieron un modelo capaz de predecir con un 99 por ciento de precisión la presencia o no del virus en una persona. Si bien se trata de un porcentaje altísimo, buscan seguir mejorándolo para que sea aún más exacto. "Esta herramienta va a ser clave al momento de diagnosticar a un paciente y servir de apoyo al personal de salud", sostuvieron.

Este trabajo que llevaron a cabo formó parte de una actividad que se realiza todos los años para cerrar la materia Sistemas Inteligentes de quinto año de Ingeniería de Sistemas. "Se trata de trabajos donde deben aplicar los conocimientos de la materia, por lo que la consigna es encararlos desde una perspectiva de ciencia de datos", contó Elmer Fernández, profesor de la cátedra, a La Voz.
Por otra parte, Tomás habló también del hecho de que este nuevo sistema no está siendo utilizado por ninguna institución sanitaria actualmente: "Somos conscientes que en otros lados han desarrollado algo similar, pero la aplicación del mismo no se está usando en ninguna institución en particular. La idea sería obviamente poder implementarlo y darle utilidad, pero no tenemos ninguna institución en particular en la mira", expresó.






























