El mundo del fútbol se vio consternado con el fallecimiento de Xana, hija del exentrenador del seleccionado Español y del Barcelona, Luis Enrique Martínez García. El mismo exfutbolista se encargó de informar acerca del fallecimiento de la pequeña de 9 años, que luchó durante 5 meses contra el osteosarcoma.
El osteosarcoma es un cáncer óseo, y es uno de los más comunes entre los niños. Según el Registro Oncopediátrico Hospitalario Argentino (Roha), el cual consigna los pacientes menores de 19 años con nuevo diagnóstico de cáncer desde el año 2000, el óseo representa aproximadamente el 5% del total del cáncer en niños de nuestro país.

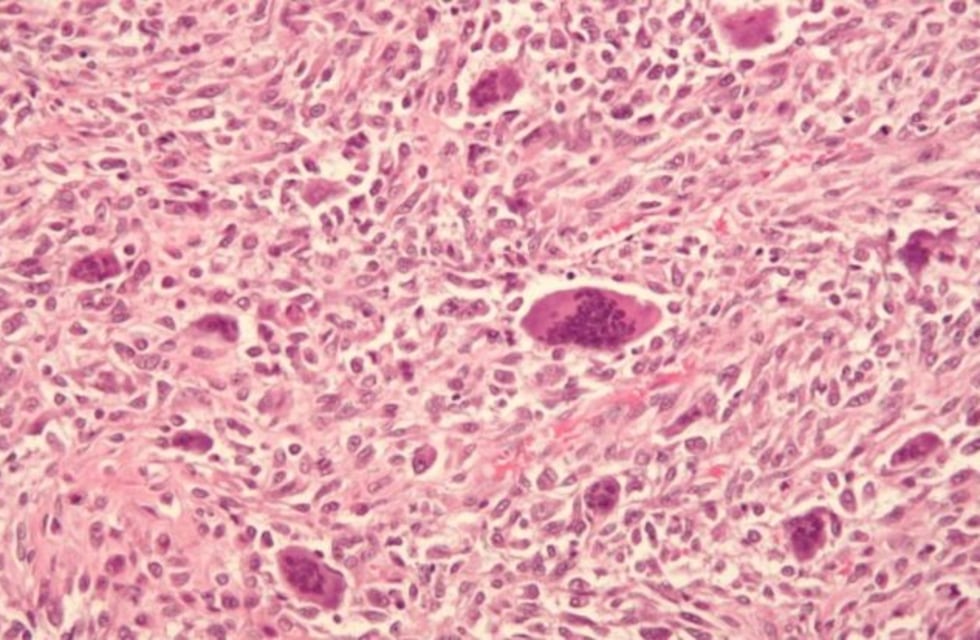
Este tipo de cáncer consiste en un tumor óseo maligno derivado de las células que generan el hueso, y suele producirse cuando un hueso crece con mucha velocidad, indicó La Vanguardia. Se trata del cáncer de huesos más habitual, en tanto representa un 35% del total de los cánceres óseos.
El tumor suele ubicarse en los huesos de mayor longitud, donde el crecimiento óseo es más rápido. De este modo, aparece generalmente en el húmero, en el fémur o en la tibia.
Si bien la causa de este tipo de cáncer todavía se desconoce, se evidencia una base genética y en algunos de los casos hereditaria. Por el momento, existen tratamientos pero no se ha encontrado una cura definitiva para esta enfermedad.
































