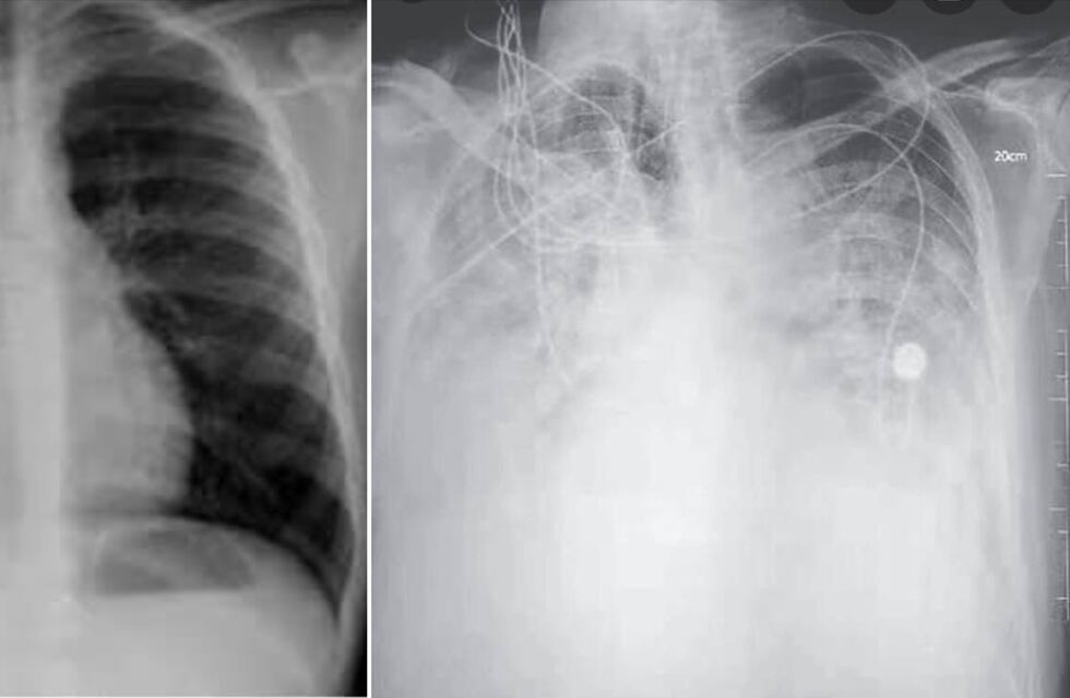
Luego de las imágenes del fin de semana en la que se vio a cientos de jóvenes en fiestas sin distanciamiento, la doctora del Hospital Pintos, Romina Perli, publicó en Facebook dos imágenes más que impactantes: una radiografía de tórax normal y otra de un paciente COVID.
“No quiero herir susceptibilidades y menos pelear con nadie. A la izquierda una radiografía de torax normal; a la derecha una radiografía de un paciente covid. Para que lo entiendan, no te queda pulmón, no podés respirar”, aseguró la emergentóloga en su cuenta personal de Facebook.
“Que seas joven y sin factores de riesgo, ni patologías previas; no te hace inmune o exento de que tengas la evolución tórpida de terminar en asistencia respiratoria mecánica. Imagínate tus familiares mayores. Nosotros seguimos muy cansados; pero no por ello bajamos la guardia. Solo te pido usa el barbijo, distanciamiento y conciencia social. No queremos seguir lamentando más pérdidas”, concluyó Perli.
No es la primera vez que una publicación de la médica del Pintos se vuelve viral: en septiembre de 2020, Perli publicó un duro texto en el que relataba que amaba su profesión “pero el agotamiento es inexplicable”. A través de las redes, los médicos buscan concientizar ante la posible llegada de la segunda ola de coronavirus.





























